Membership in Orthodontics (MOrth)
Welcome to our Postgraduate Orthodontics Program at Mira Dental Academy.
Our program offers clinical excellence built on a strong foundation of evidence-based orthodontics.
This 3 year program is a balanced program consisting of advanced instruction in diagnosis and treatment planning along with clinical treatment to develop a generation of orthodontists that are leaders in our field.
Program description:
The Membership in Orthodontics (MOrth) is a specialist membership diploma which equips general dental practitioners with expertise in orthodontic diagnosis and treatment. During our 3 year program, postgraduate students are involved in a range of courses, from craniofacial development and material science courses to more orthodontic-specific courses such as orthodontic diagnosis and treatment planning, growth and mechanotherapy. You will also be able to apply your learning in our hands-on clinical training on a variety of orthodontically challenging cases with supervision from our clinical experts to guide you.

Prof. Ahmed ElKhadem
- Fellow of the Royal College of Surgeons of Edinburgh-UK (FDS RCSEd).
- BDS, MSc (Cairo), MSc (Oxford), MSc (Warwick), MOrthRCSEd, MOrthRCPSG, MOrthRCSENG, PhD.
- Associate Professor, Pediatric Dentistry and Dental Health Department Vice Head, Evidence-Based Dentistry Centre, Faculty of Oral & Dental Medicine, Cairo University, Egypt.
- President of Egyptian International Orthodontic Association (EIOA) Masters of Science and PhD in Pediatric Dentistry, Cairo University, Egypt.
- Masters of Science in Evidence-Based Health Care (EBHC), Oxford University, United Kingdom.
- Masters of Science in Orthodontics, Warwick University, United Kingdom.

Prof. Fady Hussein Fahim
- Professor Of Orthodontics Cairo University.
- BDS, MSc, PhD Orthodontics Cairo University.
- M Orth RCSEd
- Fellow RCSEd.
- Founder Perla Dental Training Centre.
- Member of American Association of Orthodontists.
- Fellow of World Federation of Orthodontists.
- Member of European Orthodontic Society.
Dr Ahmed mabrouk

Dr Mohamad ElDaydamony

Dr Eslam Yousef

Dr Jack Adib

Dr Somaya Bahbeshi

Dr Ahmed ElShall
Growth:
- Embryology.
- Growth Rotations.
- Bone Metabolism.
- Tooth Movement.
Research:
- Statistics.
- Research and Methadology.

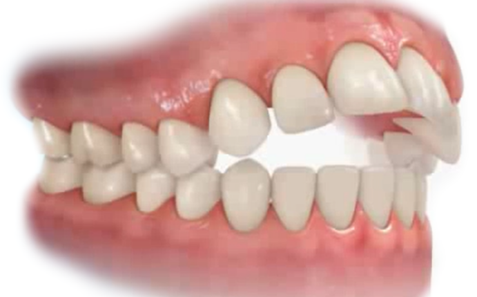
Anomalies:
- Cleft Lip and Palate.
- Hypodontia.
- Impacted Teeth.
- Supernumeraries.
- Transposition.
- Primary Failure Of Eruption.
- Molar Incisor Hypomineralization.
- Infraocclusion.

Occlusion And Malocclusion:
- Class I Malocclusion.
- Class II Malocclusion.
- Class III Malocclusion.
- Bimaxillary Proclination.
- Anterior Open Bite.
- Deep Bite.
- High Angle Cases.
- Low Angle Cases.

Diagnosis:
- Photography.
- Lateral Cephalometry.
- Space Analysis.
- Indices.

Treatment:
- Interceptive Orthodontics.
- Anchorage.
- Extraction Vs Nonextraction.
- Extraction And Facial Profile.
- Removable Appliances.
- Fixed Appliances.
- Headgear.
- Temporary Anchorage Devices.
- Functional Appliances.
- Aligners.
- Orthognathic Surgery.

Materials:
- Friction.
- Brackets.
- Arch Wires.
- Adhesives And Cements.
Relapse:
- Retention.
- Relapse And Stability.
